Before & After

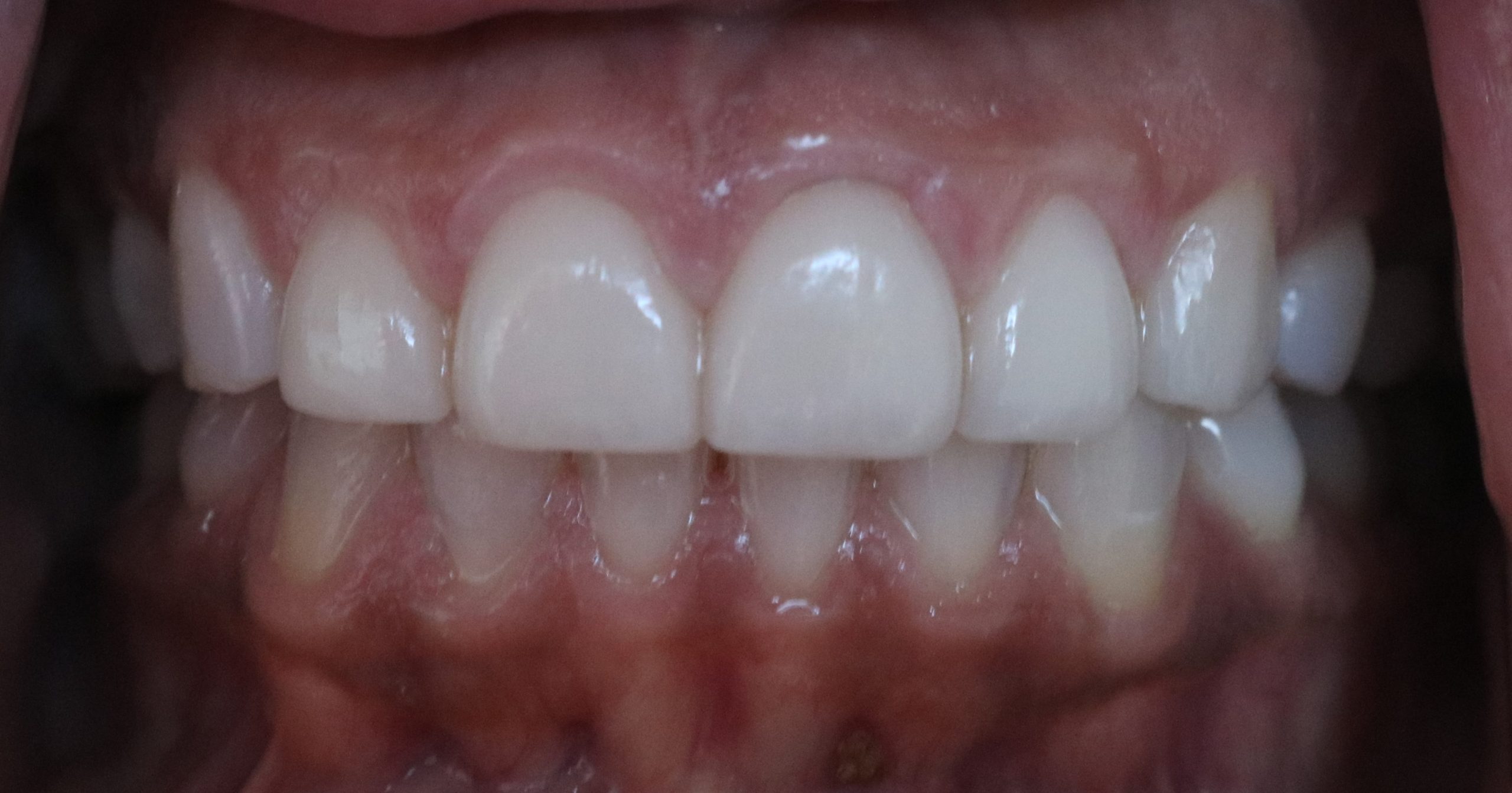
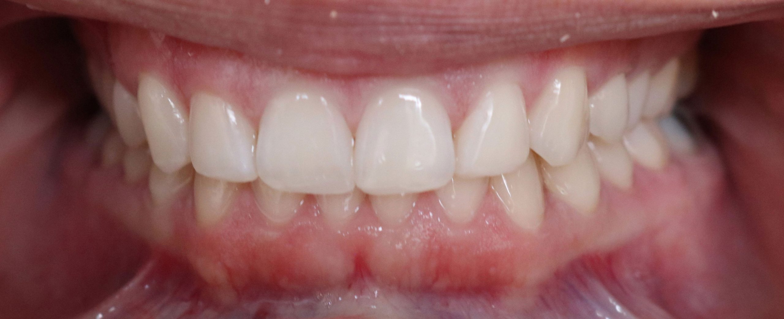
Composite Bonding

Before - After

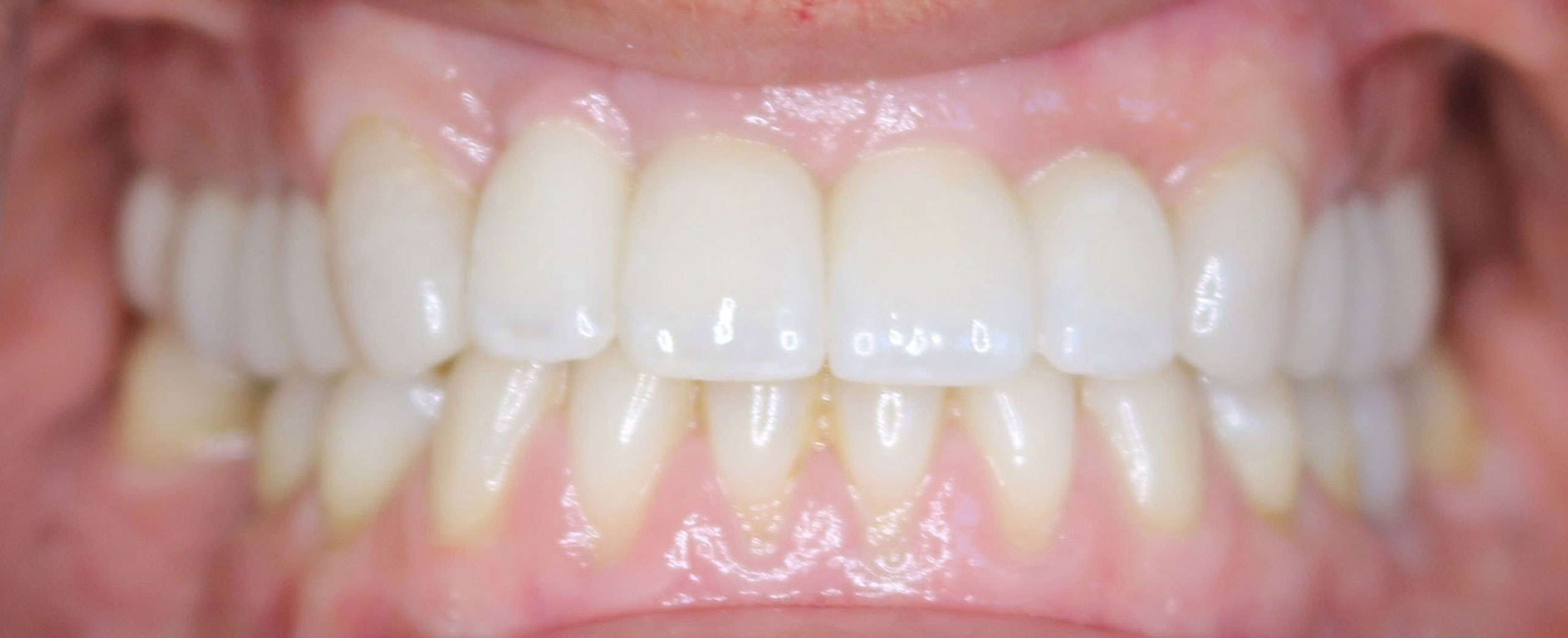
Teeth Whitening

Before - After

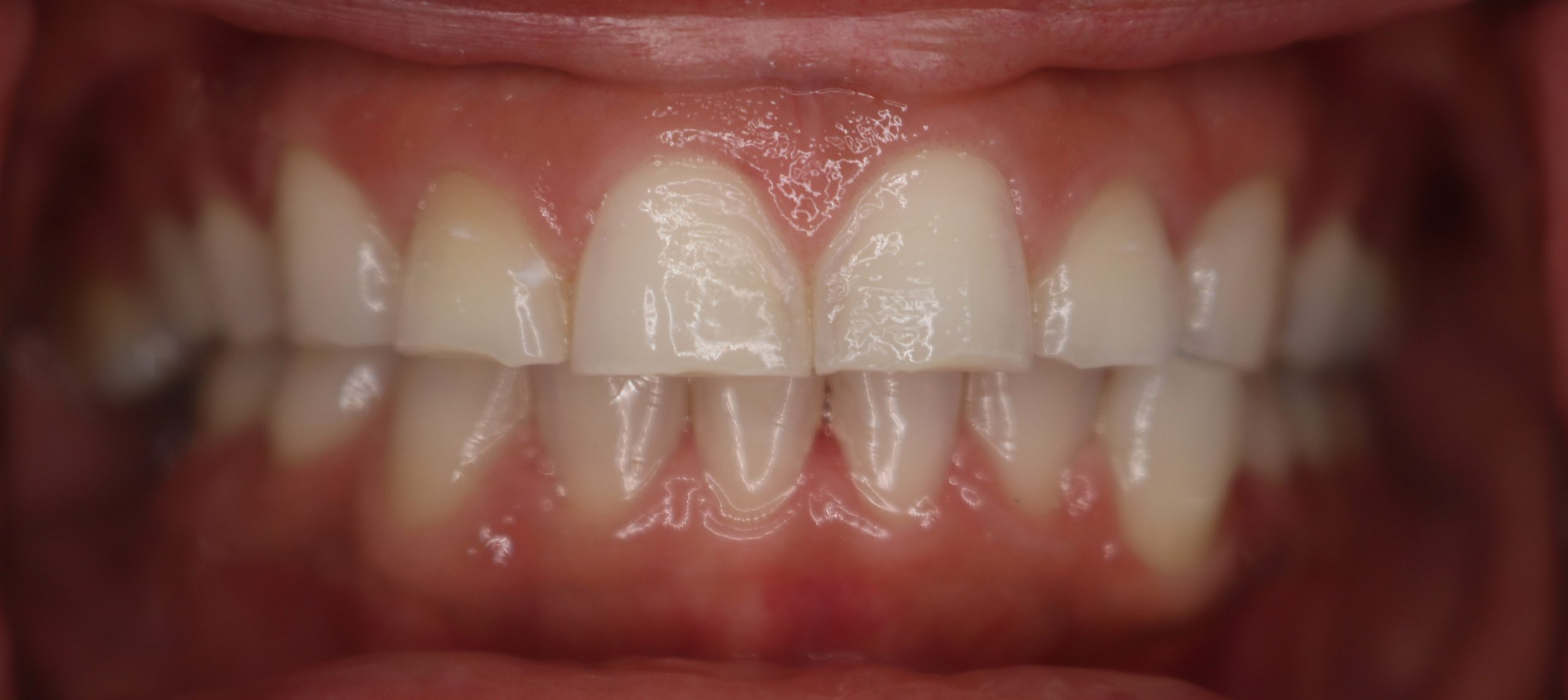
Clear Aligner Therapy and Composite Bonding

Before - After

Implant Restorations

Before - After

Clear Aligner Therapy and Veneers

Before - After

Visit Our Office

Monterey, CA

85 Via Robles, Monterey, CA 93940

Email: [email protected]

Book Now

Office Hours

  • Monday8:00 am - 5:00 pm
  • Tuesday8:00 am - 5:00 pm
  • Wednesday8:00 am - 5:00 pm
  • Thursday8:00 am - 5:00 pm
  • Friday8:30 am - 4:30 pm
  • SaturdayClosed
  • SundayClosed
831.372.7548